在猪活体采卵(OPU)技术逐步走向实用化的背景下,母猪卵泡发育状态的准确评估,已经成为影响采卵效率和卵子质量的关键前提。
近期,博祥来技术老师前往 福建漳州芦溪猪育种场,使用 BXL-S301 猪用B超机,对多头母猪进行了系统性的卵泡检测与数据采集,为后续开展母猪活体采卵提供可靠的数据基础。

为什么在猪活体采卵前必须做卵泡检测?
在传统生产中,母猪是否适合采卵,往往依赖经验判断或激素时间节点推算,但在实际操作中常常出现:
卵泡数量不足
卵泡大小差异明显
卵泡发育不同步
采卵后可用卵子数量偏低
猪活体采卵并不是“有卵巢就能采”,而是高度依赖卵泡数量和成熟度。
因此,在正式进行母猪卵泡采集之前,通过猪用B超机对卵泡进行可视化评估,已成为规范化育种场的重要步骤。

本次案例的检测目标与技术重点
在芦溪猪育种场,本次检测主要围绕三个核心目标展开:
1️⃣ 明确母猪卵巢上卵泡的数量分布
2️⃣ 判断卵泡的大小区间与发育一致性
3️⃣ 为后续猪活体采卵时间点提供客观依据
技术老师在现场使用 BXL-S301 猪用B超机,配合直肠探头,对母猪卵巢区域进行逐头扫描。
BXL-S301 在母猪卵泡检测中的实际应用表现
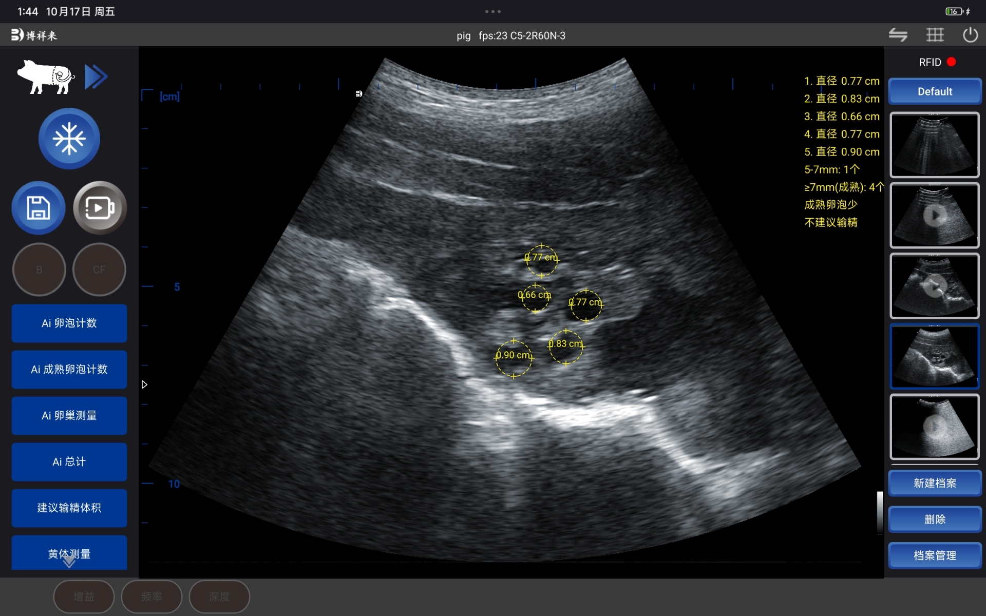
在检测过程中,BXL-S301 猪用B超机针对母猪卵巢特点进行了成像优化,卵泡在屏幕上呈现为:
边界清晰的低回声圆形结构
多个卵泡可在同一视野内同时显示
卵泡与周围组织对比度明显,便于识别
相比传统肉眼判断或单一经验推测,母猪卵泡检测仪通过图像方式,把卵泡状态“看得见、数得清”。
母猪活体采卵的成功,往往不是从采卵当天开始,而是从卵泡检测这一步就已经决定了结果。
通过 BXL-S301 猪用B超机,结合 AI 卵泡识别技术,
福建漳州芦溪猪育种场在母猪卵泡检测与数据管理方面,迈出了更加精细化的一步,也为猪活体采卵提供了坚实的数据支撑。
